BIOPHYSIO ESTHETICS
Neben dem Fokus auf Ihre Gesundheit, der Auswahl an maximal biokompatiblen Materialien und einem gesunden Biss, spielt die Ästhetik Ihrer Zähne die größte Rolle. Die meisten Menschen unterschätzen die Wirkungskraft eines gesunden, strahlenden Lachens.
BIOPHYSIODENT vereint die Wirkungskräfte aus Biologie, Physiologie und Ästhetik - „Beauty of Biology“.
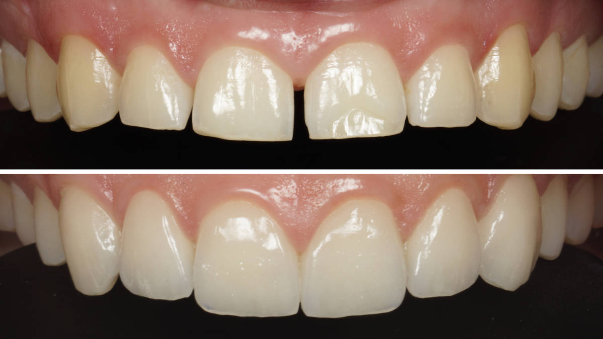
Während viele Patienten glauben, dass hauptsächlich die Zahnfarbe für die Ästhetik des Lachens und der Zähne ausschlaggebend ist, so ist es in Wirklichkeit vielmehr eine Komposition aus vielen kleinen Details, die zum perfekten Lachen führen und weniger die Zahnfarbe.
Zunächst beginnt die Reise bei der Analyse des Gesichtes. Die sog. Bipupillarlinie geht durch beide Augenmitten. Von ihrem Mitteplunkt wird ein senkrechtes Lot nach unten gezogen. Die Gesichtsmitte enspricht meist jedoch einer kleinen Kurve. Die Bipupillarlinie parallel verschoben sollte parallel zur Inzisalebene sein (die Verbindungslinie der Schneidekanten der großen Schneidezähne). Des Weiteren entspricht ist die Verbindungslinie zwischen den seitlichen Augenwinkeln und den Mundwinkeln häufig zu der Achse der Eckzähne parallel. Das untere Gesichtsdrittel wird aufgeteilt in einen Bereich oberhalb des Lippenschlusses bis zur Unterkante der Nase und einen unterhalb des Lippenschlusses bis zur Unterkante des Kinns. Das Verhältnis enstpricht im harmonischen Zustand 1:2.
Wird gelacht, so zeigt der Patient die Lachlinie, welche den Verlauf der Zähne im Bezug zu den Lippen offenbart. Der Schneidekantenverlauf ist in seiner Gesamtheit in Harmonie zur Unterlippe beim Lächeln gekrümmt oder mövenflügelartig (bedingt durch längere Eckzähne).
Nähert man sich nun den Zähnen, so ist eines der wichtigsten Kriterien der ästhetischen Analyse nun die Positionierung der Mittellinie zwischen den zwei großen Frontzähnen im Bezug zur Gesichts- bzw. Lippenmitte. Die beidseitige Symmetrie ist mittig (zentral) wichtiger als nach außen weggehend (peripher). Die Zahnmittellinie stimmt jedoch nur in ca. 70% aller Fälle mit der Gesichtsmitte überein.
Als nächstes spielen die Zahnform und die Zahnachse in Ihrer riesengroßen Vielfat eine wesentliche Rolle:
Es gibt Proportionsregeln der Frontzähne, welche eingehalten werden sollten, wenn ein harmonisches Ergebnis das Ziel ist. Das Längen-Breiten-Verhältnis der Frontzähne sollte im Sinne einer ästhetischen Versorgung meistens bei 1 zu 0,8 liegen und das Verhältnis der optisch wahfgenommenen Breiten zwischen Frontzähnen und Eckzähnen in etwa dem goldenen Schnitt entsprechen.
Die großen, mittleren Frontzähen sollten länger sein als die kleinen, seitlichen. Die Eckzahnlänge ist je nach Abnutzungsgrad etwas variabler zu betrachten. Die kleinen Dreiecke, welche sich aus den Stufen der Übergänge zwischen den Frontzähnen ergeben, die sog. Inzisaldreiecke, werden nach weiter hinten gehend zwischen den Zahnpaaren größer. Eine Verbindungslinie der Kontaktpunkte der jeweiligen Zähne folgt nach hinten weg dem Lippenverlauf/Lachlinie. Ebenso verhält es sich mit den höchsten Punkten Zahnfleisch zwischen des Zähnen (Papillen). Neben der Zahnform ist ein gesundes Zahnfleisch, mit einem harmonischem Verlauf wichtig für das ästhetische Erscheinungsbild. Die Zahnzwischenräume sollten von den Papillen ausgefüllt werden und die jeweils höchsten Punkte des Zahnfleischverlaufs beidseits symmetrisch sein. Dieser höchste Punkt (Gingivazenit), ist im idealfall immer leicht nach hinten versetzt im Bezug auf die Mitte der Schneidekante.
Eibacher Hauptstrasse 52-54
90451 Nürnberg
Öffnungszeiten
|
Mo:
|
07:00-12:00 und 13:00-17:00
|
|
Di., Do:
|
07:00-12:00 und 13:00-16:00
|
|
Mi., Fr.:
|
07:00-13:00
|






