Was ist eine NICO?
NICO (neuralgia inducing cavitational osteonecrosis), FDOK (fettig degenerative Osteolyse im Kiefer) oder auch aseptische Knochennekrose genannt, ist eine vielfach unerkannte hohlraumbildende Art von Entzündung im Kiefer. Der Verlauf ist meist in der eigentlichen Region asymptomatisch und chronisch weshalb sie meist nur als Zufallsbefunde entdeckt werden. Der chronische Verlauf als sog. "silent inflammation“ stellt für den Körper ein Störfeld im Sinne eines neuromodulativen Triggers dar und sollte deshalb immer behandelt werden.Enststehung
Die Entstehung von NICO ist noch nicht sicher geklärt. Vielfach wird von aseptischen (keimfreien) Knochen-Nekrosen geschrieben, die nach Durchblutungsstörungen (Infarkten) im Kieferknochen entstehen. Der betreffende Knochenbezirk stirbt ab und es bilden sich Hohlräume, gefüllt mit fettig degeneriertem Gewebe oder mit fettiger Flüssigkeit.Zahnarztpraxis Dr. Max Riemann
Eibacher Hauptstrasse 52-54
90451 Nürnberg
Eibacher Hauptstrasse 52-54
90451 Nürnberg
Öffnungszeiten
|
Mo:
|
07:00-12:00 und 13:00-17:00
|
|
Di., Do:
|
07:00-12:00 und 13:00-16:00
|
|
Mi., Fr.:
|
07:00-13:00
|
Diagnostik
Die NICO kann bereits in der konventionellen 2D-Röntgenaufnahme (OPG - Orthopantomogramm) erahnt werden. Eine zuverlässige Diagnose erhält man jedoch über eine 3D-Aufnahme (DVT - digitale Volumentomographie). Öffnet der Zahnarzt das Zahnfleisch über der NICO, kann er diese häufig an der Gelb- bis Braunfärbung des Knochens erkennen. Diese Verfärbung kommt von einer Cholesterin-Einlagerung (LDL). Zudem glänzt bei Öffnung des Knochens das Blut durch die darauf schwimmenden Fettaugen.Die Knochennekrosen können prinzipiell überall entstehen, treten aber gehäuft in den folgenden Situationen auf:
- Nach Zahnextraktionen und vor allem nach Weißheitszahnoperationen ohne ausreichende Vorbereitung (Nährstoffdefizit), Reinigung (Ozon) und Versorgung (z.B. körpereigene Plasmamembranen, Choukroun A-PRFTM Membranen) der Wunde
- Um wurzelkanalbehandelte Zähne herum
- Bei schlechtem Heilungsverlauf nach Zahnextraktion (z.B. „trockene Alveole“ - "alveolitis sicca“)
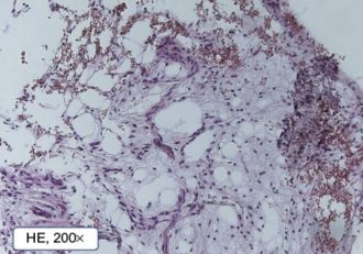
Links: eröffnete Situation, brauner, fettiger Knochen (Quelle: swiss-biohealth.com), Mitte: gesunder Knochen und NICO Knochen bei einem Humanpräparat (Quelle: swiss-biohealth.com), Rechts: Histologische Nachweise der entzündlichen Infiltrate (Quelle: Bild oben: Lechner J. Aseptic-avascular osteonecrosis: local "silent inflammation" in the jawbone and RANTES/CCL5 overexpression. Clin Cosmet Investig Dent. 2017 Nov 9;9:99-109. doi: 10.2147/CCIDE.S149545. eCollection 2017. und Bild unten: Prof. Wainwright, Kavitätenbildende Osteonekrosen des Kieferknochens – Mythos oder Realität?)






