Festsitzende Implantatversorgung im Ober- und Unterkiefer
Ausgangssituation:
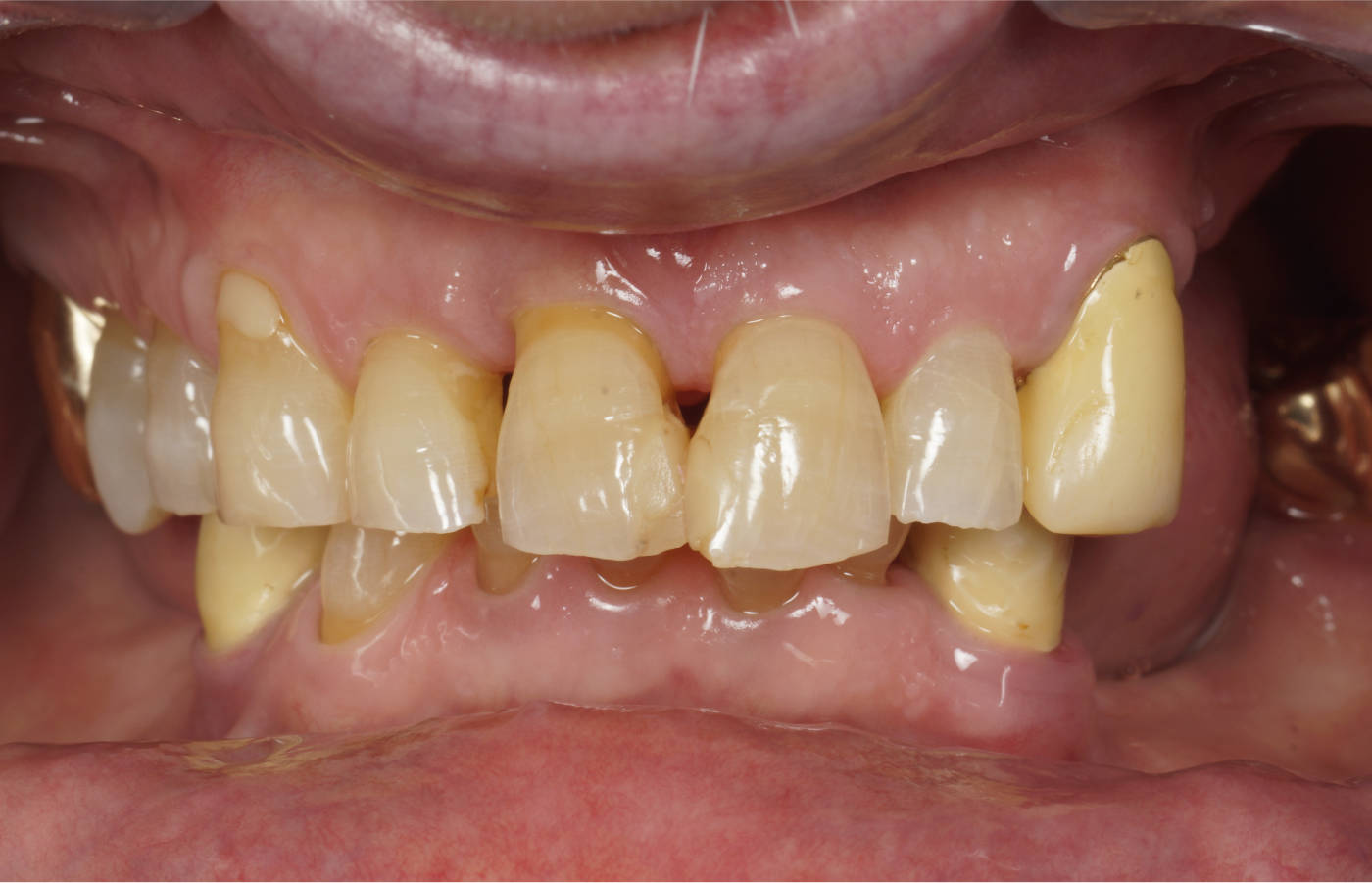
Die Patientin erlitt vor ca. 35 Jahren einen Autounfall mit einem Verlust des Großteils der Zähne im Ober- und Unterkiefer. Bis sich die Patientin zu neuen Zähnen entschlossen hatte, trug sie einen herausnehmbaren Zahnersatz.
Die besonderen Herausforderungen des Falles waren kombiniert ästhetischer und funktioneller, also physiologscher Natur. Es zeigten sich deutlliche Missverhältnisse der Proportionen des Lachbildes und falsche Zahnlängen. In dem Ausgangsbild ist deutlich zu erkennen, dass keine Oberkieferfrontzähne zu sehen sind. Man spricht hierbei von falschen Ebenen. Die Bisshöhe war um 5mm zu tief, was aus biologischer Sicht eine Kompression der Kiefergelenke und des venösen Abflusssystems mit sich bringt. Aus physiologischer Sicht geht ein tiefer Biss immer auch mit einer kompromittierten Körperstatik einher.
Behandlung:
Im Vorfeld der Behandlung wurde eine ausgiebige Diagnostik mit der Patientin hinsichtlich Funktion, Phonetik und Ästhetik durchgeführt. Die gewonnenen Informationen wurden auf Langzeitprovisorien transferiert und die Patientin konnte vor der Zahnersatzfertigstellung alles probetragen und ausprobieren. Der Patientin wurden Vitamin D3+K2, Magnesium, Vitamin C, Aminosäuren und Omega 3 Fettsäuren für einen optimalen Knochenstoffwechsel verschrieben. Die Implantate sind allesamt gesund eingeheilt, die neuen Zähne, und vor allem das neue, wunderschöne Lachen, machen Behandler und Patientin sehr glücklich!
Udo Plaster, ZTM/MDT
Eibacher Hauptstrasse 52-54
90451 Nürnberg
Öffnungszeiten
|
Mo:
|
07:00-12:00 und 13:00-17:00
|
|
Di., Do:
|
07:00-12:00 und 13:00-16:00
|
|
Mi., Fr.:
|
07:00-13:00
|
Veneers aus Keramik im Ober und Unterkiefer
Ausgangssituation:
Die Patientin stellte sich in der Praxis mit dem Wunsch des Schließens der Lücken im Ober- und Unterkiefer vor.
Behandlung:
Der Patientin wurde die Situation zunächst mittels Kaschierfolien im Ober und Unterkiefer dargestellt. Die Kaschierfolien ermöglichten es der Patientin, im Vorfeld die Funktion (Aussprache, Platzgefühl) und Ästhetik darzustellen. Anschließend wurde der endgültige Zahnersatz in Vollkeramik aus sog. Emax und dem cut-back-Verfahren hergestellt.
Udo Plaster, ZTM/MDT
Oberkiefer und Unterkiefergesamtsanierung bei CMD Beschwerden (Beschwerden im Kiefergelenks-, Nacken- und Schulterbereich)
Ausgangssituation:
Der Patient war zur halbjährlichen Routineuntersuchung und professionellen Zahnreinigung bei uns in der Praxis. Aus dem Gespräch mit ihm ging hervor, dass er vermehrt Beschwerden im Kiefergelenks-, Nacken- und Schulterbereich hat. Es stellten sich funktionelle Fehl- und Störkontakte des Bisses bei dynamischen und statischen Kontakten dar.
Behandlung:
Es erfolgte eine ausführliche instrumentelle und manuelle Strukturanalyse und Diagnostik. Nach der Auswertung der ersten Unterlagen bekam der Patient Mock-Up-Schienen mit nach Hause um Funktion und Ästhetik zu überprüfen. Anschließend erfolgte die Umsetzung in ein Langzeitprovisorium. Nach drei Monaten Testphase der Funktion und Ästhetik erfolget die Umsetzung der finalen Zähne in Vollkeramik.
Udo Plaster, ZTM/MDT
Gesamtsanierung Ober- und Unterkiefer in Vollkeramik bei starken Abrasionen - Implantate und Vollkeramik
Ausgangssituation:
Der Patient stellte sich mit einem herausnehmbaren Zahnersatz im Ober- und Unterkiefer sowie starken Abrasionen des Gebisses dar. Es fehlten teilweise Backenzähne und es bestanden bereits Lockerungsgrade. Aus biologischer und physiologischer Sicht war es indiziert die Stützzonen der fehlenden Zähne und somit eine weitere Kieferggelenkskomprimierung zu rekonstruieren.
Behandlung:
Auch bei diesem Patienten sind wir unserem Behandlungsablauf mit vorhergehender Anamnese, Befundung und Diagnostik treu geblieben. Der Patient erhielt einen ausführlichen Behandlungsplan: Von Mock-Ups zum Testen der ersten Ästhetik und Funktion, über Implantationen und Langzeitprovisorien hin zur finalen Prothetik aus Vollkeramik.




















